ご予約・ご相談をお待ちしております
診療時間
月
火
水
木
金
土
日・祝
10:00~13:00
14:00~18:00
休診日: 水・日・祝
東急田園都市線 用賀駅南口から徒歩1分
〒158-0097 東京都世田谷区用賀4−5−23 AZ用賀ビル1F
-
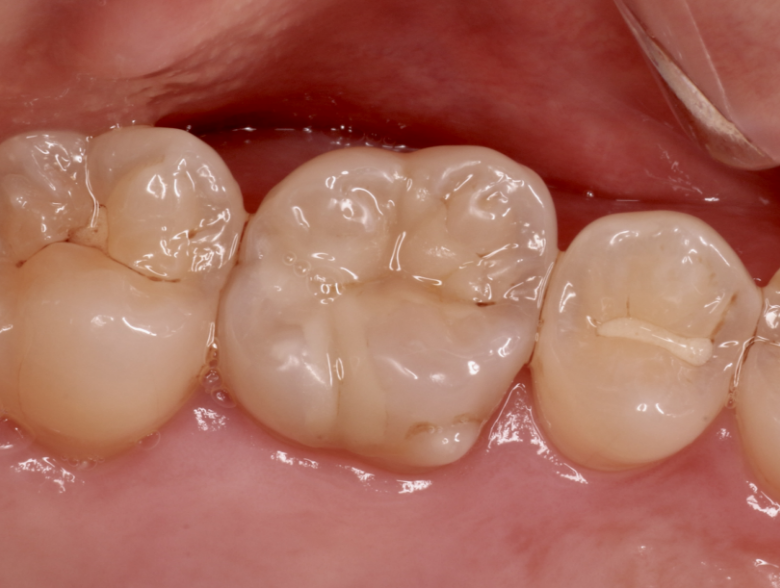
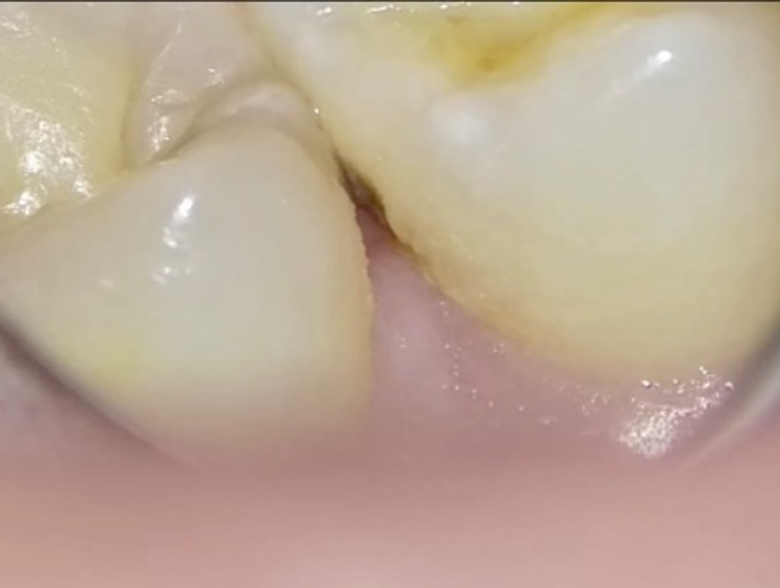
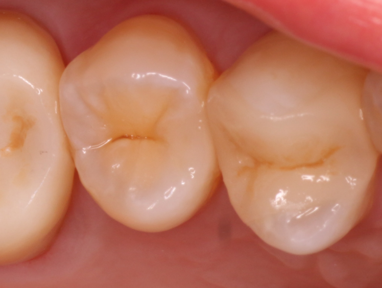
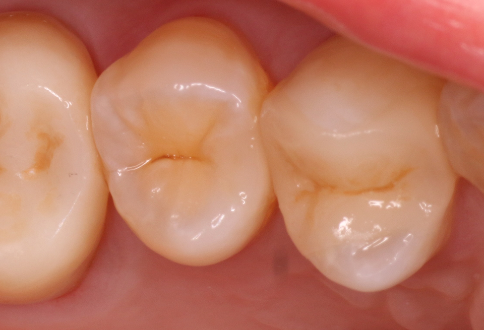
医院紹介
-
診療一覧
ご予約・ご相談をお待ちしております
診療時間
月
火
水
木
金
土
日・祝
10:00~13:00
14:00~18:00
休診日: 水・日・祝
東急田園都市線 用賀駅南口から徒歩1分
〒158-0097 東京都世田谷区用賀4−5−23 AZ用賀ビル1F
