WEB 予約
サイトロゴ

ご予約・ご相談をお待ちしております

診療時間
日・祝
10:00~13:00
14:00~18:00
休診日: 水・日・祝

東急田園都市線 用賀駅南口から徒歩1分

〒158-0097 東京都世田谷区用賀4−5−23 AZ用賀ビル1F

ご予約・ご相談をお待ちしております

診療時間
日・祝
10:00~13:00
14:00~18:00
休診日: 水・日・祝

東急田園都市線 用賀駅南口から徒歩1分

〒158-0097 東京都世田谷区用賀4−5−23 AZ用賀ビル1F

orthodontics

矯正治療

あなたに最適な歯列を引き出し、自信が持てる口元へ

矯正治療をご検討中の方は歯並びや噛み合わせを整えて、自信が持てる口元になりたいと思っているのではないでしょうか。当院はただ単純に歯を並べるのではなく、患者様それぞれの美しさを考えて矯正治療を行っています。

矯正相談は無料で行っています。歯並びに悩まれたらいつでもお気軽にご相談ください。患者様のお話に耳を傾け、お悩みを解決できるようにしっかりと向き合うことをお約束します。

矯正治療を行うメリット

  • 口元のコンプレックスから開放されて前向きになれる
  • 歯列不正を解消することで虫歯や歯周病のリスクを下げる
  • 正しい咬み合わせが将来起こりうる歯のトラブルを予防する
  • 歯並びが綺麗になることで、見た目だけでなく心が前向きになれます。また、健康的なお口の状態を作りやすくなるため、歯のトラブルを予防することも可能になります。 「コンプレックスを解消し、健康的に美しく。」それが患者様が矯正治療を行う最大のメリットであると考えています。

    当院の矯正治療の特徴

    当院では矯正医が在籍しているため、矯正専門歯科と同様の治療以外にも、一般歯科医との連携により、虫歯治療や審美歯科、ホワイトニングなどと組み合わせた治療も可能です。
    矯正医と一般歯科医がいるからこそ可能な当院の矯正治療に関する特徴をご紹介します。

    ワイヤー矯正にもマウスピース矯正にも
    対応しています

    当院には矯正医が在籍しているため、ワイヤー矯正にもマウスピース矯正にも対応しています。マウスピース矯正だけでは難しい症例であっても、ワイヤー矯正を部分的に短期間併用することによって、矯正治療期間を大部分をマウスピース矯正で仕上げることができます。装置に関する相談も承っておりますのでお気軽にご相談ください。

    歯肉退縮のリカバリー
    対応を行っています

    矯正治療により部分的に歯肉退縮が生じることがあります。また、歯並びが悪かった時にはわからなかったブラックトライアングル(歯と歯の隙間と歯肉に囲まれた三角形の隙間)が目立つようになることもあります。 当院では、歯肉退縮やブラックトライアングルに対して院長による歯肉移植やダイレクトボンディング(ブラックトライアングルをプラスチックの材料で埋める)を行うことによりリカバリーすることができます。

    歯肉退縮の治療

    矯正治療中のメンテナンス
    もお任せください

    歯周病専門医に鍛え上げられた歯科衛生士がメンテナンスを担当します。矯正治療中にプロフェッショナルクリーニングを行いますので、虫歯や歯周病をしっかりと予防していきます。歯科衛生士による質の高いメンテナンスを行うことで引き締まったピンクの美しい歯茎になるため、歯だけではなく美しい歯茎にすることが可能です。

    矯正×総合治療が当院の特徴です

    当院では矯正医による治療によって矯正専門の歯科医院と同じような治療を行うことができますが、それ以外にも虫歯治療や審美歯科治療、ホワイトニングなどの治療を行うことができるため、総合的な治療が可能です。

    抜歯はあの医院、矯正はこの医院、治療はまた別の医院といったように、煩雑に行動する必要はなく、全ての治療を1医院で行うことができます。歯並び以外にも気になることがあればお気軽にご相談ください。矯正医と院長が互いの強みを活かした治療計画をご提案することも可能です。

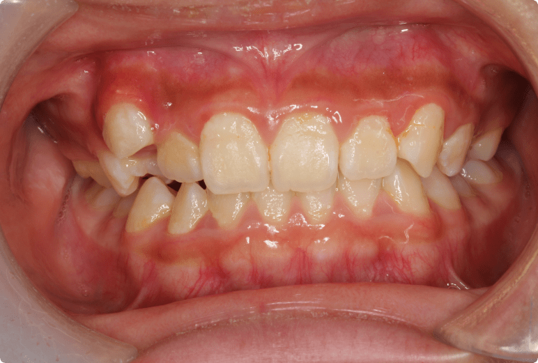
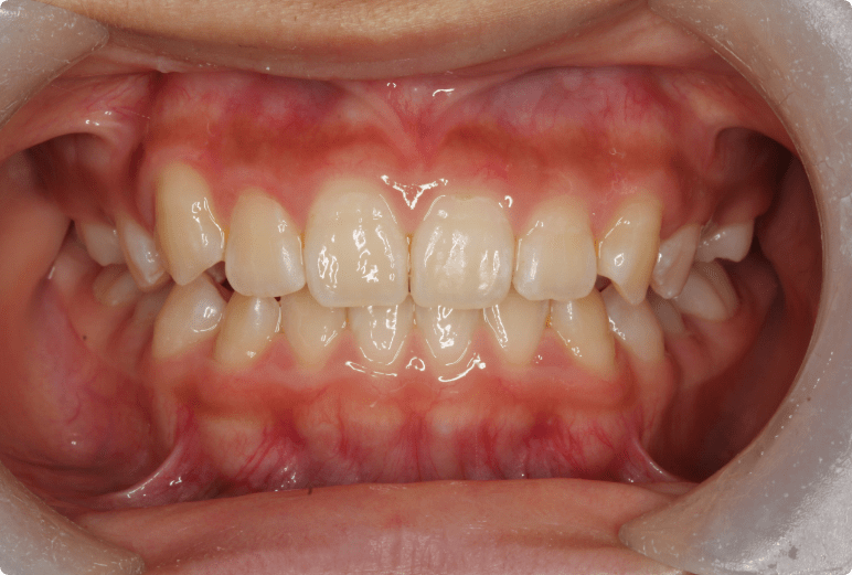
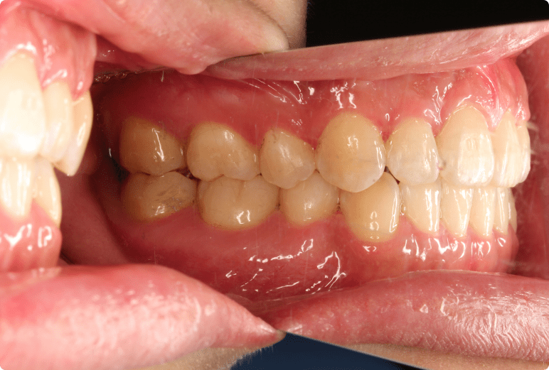
    成人矯正の症例

    八重歯を改善した症例

    BEFORE
    AFTER
    症例概要
    年代、性別
    12歳 女の子(成人と同様の矯正治療)
    主訴
    八重歯
    診断
    骨格性Ⅰ級、歯性Ⅱ級、前歯部叢生
    治療内容
    上顎左右4番抜歯、唇側ワイヤー矯正、リテーナー
    治療期間
    2年+メンテナンス
    治療リスク
    痛み、歯根吸収、歯肉退縮
    治療費用
    990,000円(税込)

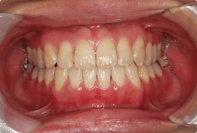
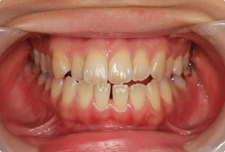
    開咬を矯正治療で改善した症例

    BEFORE
    AFTER
    症例概要
    年代、性別
    20代 女性
    主訴
    前歯で物が噛めない、でこぼこ
    診断
    骨格性Ⅲ級、歯性Ⅲ級、開咬、前歯部叢生
    治療内容
    非抜歯、唇側ワイヤー矯正、リテーナー
    治療期間
    約1.5年+メンテナンス
    治療リスク
    痛み、歯根吸収、歯肉退縮、ブラックトライアングル
    治療費用
    990,000円(税込)

    出っ歯を矯正治療で改善した症例

    BEFORE
    AFTER
    症例概要
    年代、性別
    20代 女性
    主訴
    出っ歯
    診断
    骨格性Ⅰ級、歯性Ⅰ級、上顎前突
    治療内容
    下顎左右4番抜歯(4本)、唇側ワイヤー矯正、リテーナー
    治療期間
    約2.5年+メンテナンス
    治療リスク
    痛み、歯根吸収、歯肉退縮、ブラックトライアングル
    治療費用
    1,100,000円(税込)

    歯並びが気になる方はまず無料相談にいらしてください

    当院では矯正治療を検討している方に向けて、矯正医による無料相談を実施しております。 お子様から大人の方まで幅広い年齢の方のご相談を承っておりますので、お気軽にご予約ください。お子様の矯正治療に関しては別ページで詳しく説明しておりますので、そちらをご覧ください。

    RESERVE

    診療予約・相談予約

    ご予約・ご相談をお待ちしております

    診療時間
    日・祝
    10:00~13:00
    14:00~18:00
    休診日: 水・日・祝

    東急田園都市線 用賀駅南口から徒歩1分

    〒158-0097 東京都世田谷区用賀4−5−23 AZ用賀ビル1F