WEB 予約
サイトロゴ

ご予約・ご相談をお待ちしております

診療時間
日・祝
10:00~13:00
14:00~18:00
休診日: 水・日・祝

東急田園都市線 用賀駅南口から徒歩1分

〒158-0097 東京都世田谷区用賀4−5−23 AZ用賀ビル1F

ご予約・ご相談をお待ちしております

診療時間
日・祝
10:00~13:00
14:00~18:00
休診日: 水・日・祝

東急田園都市線 用賀駅南口から徒歩1分

〒158-0097 東京都世田谷区用賀4−5−23 AZ用賀ビル1F

endodontics

根管治療

あなたの歯を残すための根管治療

根管治療は「歯の根の治療」です。
この治療を提案される場合は、歯の神経が壊死して歯根にまで虫歯が進行している状態が最も多く、根の先に膿の袋が作られている場合もあります。

一昔前まではこのような状態にまで虫歯が進行してしまうと歯を抜いてしまうことが多かったのですが、現在では根管治療を行うことで歯を残せる可能性が高くなりました。

当院の院長は、天然歯を保存することを目的とした知識や技術を学ぶ、歯科保存学会の認定医として、精密な根管治療を心がけています。

予後の良い根管治療を目指して

根管治療は歯を残すための治療であることをご理解いただけたと思いますが、根管治療の精度によっては、残した歯が割れてしまったり、細菌が残っていて再発してしまったりする場合があります。これは往々として起こり得る問題です。

せっかく残した歯なので、できる限り長持ちしてほしい。つまり予後の良好な根管治療を行う必要があるということです。そのために当院が行っていることをご紹介します。

01ラバーダム防湿を用いる
予後を良好にするためには「無菌的治療」が必要と言われています。唾液中には大量の細菌がいるため、治療中に根管の中に唾液が侵入してしまうとせっかく治療して細菌をなくしたところに再び細菌が入ってしまい再感染してしまいます。

それを防ぐためにラバーダム防湿と呼ばれるゴム製のシートを使い、治療する歯を隔離することによって、唾液に含まれる細菌や呼気による湿気を防ぐことができます。現在の根管治療では必須であると言えるでしょう。根管治療後の被せ物治療の際にも、接着力を高めるためにラバーダム防湿が重要になります。

02マイクロスコープで精密な治療をする

マイクロスコープは肉眼や拡大鏡(ルーペ)よりも更に拡大して患部を見ることができます。これまでは手探りで勘に頼った治療を行うことによって、歯を必要以上に削って残した歯をもろくしてしまったり、根管の壁に穴を開ける(パーフォレーション)などが引き起こされていました。それがマイクロスコープによって、目視で精密な治療を行えるようになったので、そのようなミスを減らすことに繋がります。

また、マイクロスコープは動画を撮影できるようになっているため、どのような治療を行ったのかを確認することができます。これによって、どのような治療が行われているかを患者様も確認することができます。

03ニッケルチタンファイルを用いる

根管は実に複雑です。根管によっては湾曲しているものもあります。 そういった複雑な根管に対して通常のファイルを用いると、弾性が足りずにファイルが折れてしまい、歯の中に残ってしまうことがあります。 ニッケルチタンファイルは弾性があり、湾曲がある根管でも折れにくい性質を持っています。そのため、ニッケルチタンファイルは精密な根管治療には必須の器具であると言えます。

04MTAセメントを用いた根管充填

MTAセメントは根管治療後に根管内部に詰める薬剤です。なぜ、根管治療にMTAセメントが重要かというと、水分があっても硬化する・持続的な殺菌力がある・膨張して隙間なく緊密に詰められる・生体親和性が良いことが挙げられます。一般的に用いられる材料では経年で縮小し、隙間ができるなどの問題が発生します。MTAセメントはそれらのリスクを回避する事ができます。

05精密な被せ物を作る

根管治療後の被せ物はとても重要です。
なぜなら、被せ物が不良であると隙間ができてしまい、その隙間に汚れが溜まってしまい虫歯が再発してしまうからです。だからこそ、適合性の高い被せ物を作ることが重要なのです。

そのために、精密な型取りやラバーダム防湿を用いて接着精度を落とさないような工夫をしたり、歯ぎしり食いしばりで被せ物が取れたりしないように被せ物と同時に全体のバランスを整えることを行います。

根管治療の実際

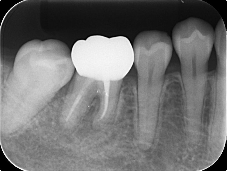
奥歯の根管治療を行った症例

BEFORE
AFTER
症例概要
年代、性別
49歳女性
主訴
左上の歯茎から膿がでている
診断
根尖性歯周炎
治療内容
感染根管治療、ファイバーポストを用いた支台築造、フルジルコニアクラウン装着
治療期間
2ヶ月程度
治療リスク
噛み合わせの状態によっては歯根破折を起こすことがある
治療費用
242,000円(税込)

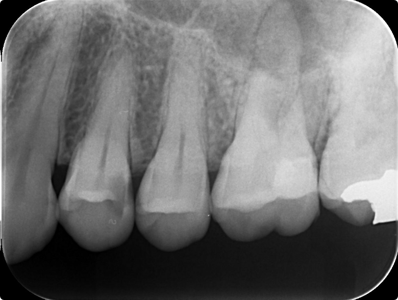
二次虫歯による感染根管治療を行った症例

BEFORE
AFTER
症例概要
年代、性別
50代女性
主訴
右下の歯が噛むと痛い
診断
根尖性歯周炎、歯周炎
治療内容
歯周基本治療、感染根管治療、ファイバーポストを用いた支台築造、フルジルコニアクラウン装着
治療期間
3ヶ月程度
治療リスク
噛み合わせの状態によっては歯根破折を起こすことがある
治療費用
275,000円(税込)

根管治療の流れ

当院で行う根管治療の基本的な流れをご紹介します。

01検査
歯や組織の状態を調べるために検査をします。
パノラマレントゲンだけでなく、歯の詳細な状態を知るためのデンタルレントゲン撮影を行います。場合によってはCT撮影を行うことがあります。

02結果説明

検査結果をもとに、歯や組織の状態を詳しくご説明致します。
歯を残せるか残せないかの判断と同時に、どのような治療計画が必要かをご説明致します。

03治療開始

根管治療を開始致します。
当院ではラバーダム防湿を行い、マイクロスコープ下で治療を行います。
根管内を丁寧に清掃した後、根管充填を行います。根管充填後は仮歯をセットします。

04経過観察

経過観察を行います。デンタルレントゲンを撮り、治癒の状態を確認します。
治癒が確認できたら、治療の最終段階に入ります。

05土台を立てて、被せ物をセット

治療の最終段階では土台を立てた後に、被せ物をセットしていきます。
噛み合わせの調整をした後、メンテナンスに移行していきます。
06メンテナンス
定期的にメンテナンスを行い、治療した歯を長持ちさせるようにします。
基本的には3ヶ月〜4か月に1回の来院を推奨しています。
Q&A

根管治療のよくある質問

残すことに満足せず、長持ちする治療を

当院は根管治療によって歯を残すことだけにフォーカスするのではなく、治療した歯が長持ちすることを目標に精密な治療と継続的なメンテナンスを行います。根管治療が必要になられたら、お気軽にご相談ください。また、他院で治療していてなかなか治療が終わらない、痛みがとれないなどのお悩みがありましたら、セカンドオピニオンも承っております。

RESERVE

診療予約・相談予約

ご予約・ご相談をお待ちしております

診療時間
日・祝
10:00~13:00
14:00~18:00
休診日: 水・日・祝

東急田園都市線 用賀駅南口から徒歩1分

〒158-0097 東京都世田谷区用賀4−5−23 AZ用賀ビル1F