ご予約・ご相談をお待ちしております
東急田園都市線 用賀駅南口から徒歩1分
〒158-0097 東京都世田谷区用賀4−5−23 AZ用賀ビル1F
-
医院紹介
-
診療一覧
ご予約・ご相談をお待ちしております
東急田園都市線 用賀駅南口から徒歩1分
〒158-0097 東京都世田谷区用賀4−5−23 AZ用賀ビル1F
ご予約・ご相談をお待ちしております
東急田園都市線 用賀駅南口から徒歩1分
〒158-0097 東京都世田谷区用賀4−5−23 AZ用賀ビル1F
ご予約・ご相談をお待ちしております
東急田園都市線 用賀駅南口から徒歩1分
〒158-0097 東京都世田谷区用賀4−5−23 AZ用賀ビル1F
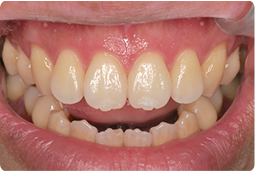
ホワイトニング需要の高まりと共に、歯科医院以外でもホワイトニングが受けられるようになったため、どこで施術してもらうか悩んでいる人も多いのではないでしょうか。
当院はホワイトニングサロンやホワイトニングカフェでは使用することのできない医薬品のホワイトニング剤を使用し、患者様が希望する歯の白さを目指します。
ホワイトニングのみのご予約も承っておりますので、お気軽にお問い合わせください。
ホワイトニングを検討する際に、歯科医院のホームページを見て検討する方は多いと思いますが、金額が高くて安いところで施術したと言う方は多いと思います。どうして歯科のホワイトニングはホワイトニングサロンやホワイトニングカフェに比べて高いのかをご説明いたします。
1回の来院でオフィスホワイトニングをした場合、歯は今よりも確実に白くなりますが、患者様が希望する理想の白さになるとは限りません。また、歯のダメージを考えると1回で多量のホワイトニング剤を塗ることもできません。
そのため、患者様が「いつまでに白くなりたいか?」というゴールを決めてホワイトニングの回数をプランニングする事がとても重要です。また、その白さを持続させるためには継続してホワイトニングをすることが大切です。
当院で施術可能なホワイトニングプランをご紹介します。
ご自宅でじっくり歯を白くする
オフィスホワイトニングに比べて薬剤の濃度が低いため、じっくり歯を白くする事ができます。特徴としては、しみにくい・持続力があることです。オフィスホワイトニングの効果を持続させることにも役立ちます。
歯科医院でより早い効果を実感できる
来院いただいた上で医薬品の薬剤(オパールエッセンスBOOST)を用いたホワイトニングを行います。なるべく早く白さを実感したい方に適しています。定期的に行うことでより白い歯を実現する事ができます。
オフィスとホームを組み合わせた
オフィスホワイトニングの特徴とホームホワイトニングの特徴を活かしたホワイトニングプランのデュアルホワイトニング。より早く、より持続させたいという方に適しています。
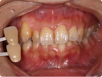
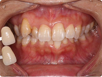
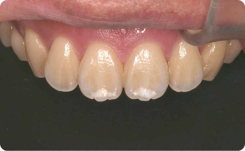
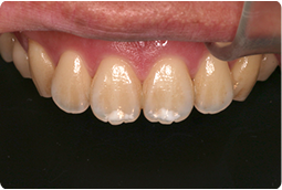
「前歯の白いシミ(ホワイトスポット)」が気になっている方へ、削らずに自然な見た目に整える新しい方法もご用意しています。ホワイトニングを行ったにも関わらず、歯に見える斑点が消えなかったと仰られる方がいらっしゃいます。
当院では【Icon®(アイコン)】というドイツ生まれの治療を行うことで、歯を削ることなく自然な見た目にすることが可能です。
初期虫歯の跡や矯正治療後にホワイトスポットは出やすいので、気になられたらお気軽にご相談ください。もちろん、ホワイトニングとの併用が可能です。
当院ではホワイトニングだけでご予約いただく事も可能です。歯を白くしたいと思われたらお気軽にいらしてください。患者様のご要望をお聞きしながら、最適なプランをご提案します。また、他院では白くならなかった、ホワイトスポットが目立つなどのセカンドオピニオンも受け付けていますので、ご活用ください。
〒158-0097 東京都世田谷区用賀4−5−23 AZ用賀ビル1F
初めての方は検診・歯科ドックや、治療のご相談をお待ちしております。