WEB 予約
サイトロゴ

ご予約・ご相談をお待ちしております

診療時間
日・祝
10:00~13:00
14:00~18:00
休診日: 水・日・祝

東急田園都市線 用賀駅南口から徒歩1分

〒158-0097 東京都世田谷区用賀4−5−23 AZ用賀ビル1F

ご予約・ご相談をお待ちしております

診療時間
日・祝
10:00~13:00
14:00~18:00
休診日: 水・日・祝

東急田園都市線 用賀駅南口から徒歩1分

〒158-0097 東京都世田谷区用賀4−5−23 AZ用賀ビル1F

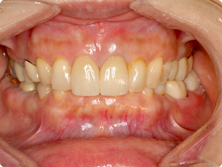
COSMETIC DENTISTRY

審美歯科

天然歯のような自然な口元を目指す審美歯科

当院が目指す審美歯科は「天然歯のような自然な口元」です。明らかに治療した歯であると気付かれないような、その人が持つ本来の美しさを引き出すことを目標としています。

また、美容面だけに特化してしまう、将来な審美的なトラブル、二次虫歯・歯周炎により歯の保存が危ぶまれるような根本的な問題などにつながることもあるため、機能面にも充分配慮した治療計画を立てることも当院の特徴です。

口元にこのようなお悩みはありませんか?

  • 歯の色を白くしたい
  • 目立つ銀歯を白くしたい
  • 歯並びを良くしたい
  • 小さい歯をバランス良くしたい
  • 前歯の隙間を閉じたい
  • 歯の形を整えたい
  • 歯茎の見た目を良くしたい

このようなお悩みがありましたら、お気軽にご相談ください。

当院の審美歯科に対するこだわり

当院では次のようなこだわりを持って審美歯科治療を行います。

01低侵襲な治療を行う
歯を大きく削って、詰めたり被せたりする治療ではなく、できる限り歯を削らずに済む場合は低侵襲な術式を用いて治療を行います。天然歯を大切にする審美歯科にこだわります。
02機能面を疎かにしない
日本歯科審美学会では、審美歯科を「形態美・色彩美・機能美の調和を図る」と定義しています。つまり、歯科治療の根本である機能の回復を疎かにしてはならないということです。
03患者様の希望を蔑ろにしない
患者様それぞれ希望が異なります。当院ではご希望をお伺いしながら、歯科医療として妥協してはならない部分を話し合い、出来る限り希望に寄り添った治療をお約束します。
04ラバーダム防湿を行い高い接着治療を行う
当院ではボンディング材やセラミックスがきちんと接着するために、ラバーダム防湿を使用し、接着を阻害する原因を取り除いて治療を行います。
05天然歯のような仕上がりと歯肉の美しさ
その人の持つ自然な美しさを目指すことで、全体的な調和が取れた自然な仕上がりになります。また歯肉の美しさにもこだわることでより天然歯に近い審美性が得られます。

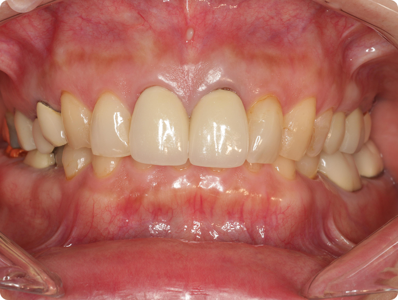
審美歯科治療のメニュー

当院で行っている審美歯科のメニューを症例でご紹介いたします。お口の状態によって、複数の治療方法を組み合わせることも可能です。

画像の説明文
MENU 05

歯列矯正

歯並びを根本的に改善するためには歯列矯正が最も適しています。当院では矯正医が治療を担当し、審美的な問題と噛み合わせの問題の双方を解決していきます。装置もワイヤー・マウスピースの双方に対応していますので、症例とご要望に併せて一緒に決めていきます。詳しくは矯正歯科のページをご覧ください。
矯正歯科
画像の説明文
MENU 06

歯肉移植(歯肉退縮の改善)

当院では矯正治療・強いブラッシングなどで下がってしまった歯茎を改善するために歯周形成外科治療の1つである歯肉移植を行っています。歯の美しさだけではなく歯肉の美しさも改善する治療方法です。詳しくは歯肉退縮治療のページをご覧ください。
歯肉退縮治療

審美歯科の症例

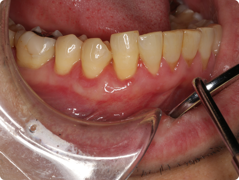
ダイレクトボンディングの症例

BEFORE
AFTER
症例概要
年代、性別
30代女性
主訴
治療した歯が痛い
診断
二次う蝕
治療内容
虫歯治療、ダイレクトボンディング
治療期間
1回〜2回
治療リスク
噛み合わせによっては割れることがある
治療費用
66,000円(税込)

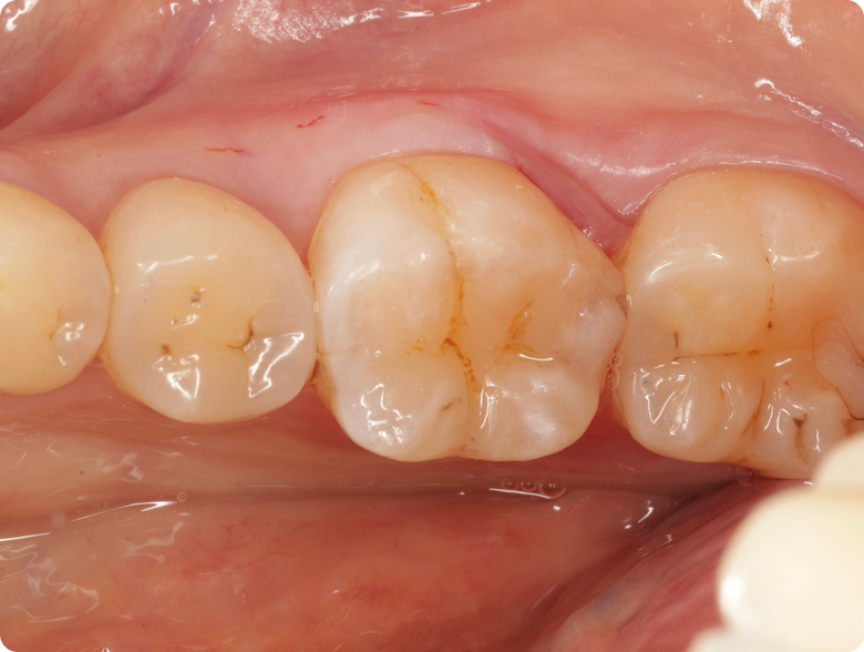
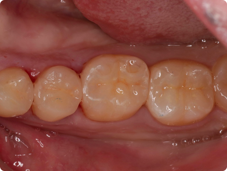
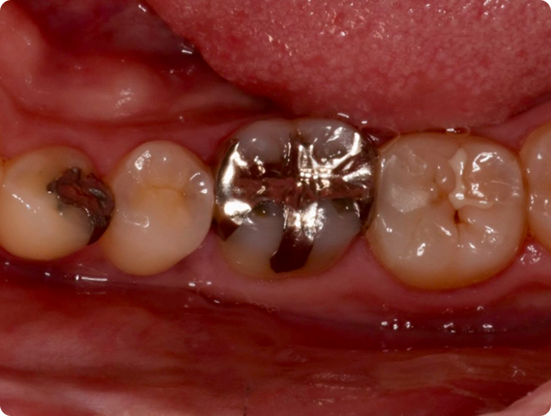
セラミックインレーの症例

BEFORE
AFTER
症例概要
年代、性別
30代男性
主訴
口を開けた時に銀歯が気になる
診断
下顎左側第一第二小臼歯、第一大臼歯 不適合修復物、第二大臼歯う蝕
治療内容
ダイレクトボンディング、セラミックインレーによる修復
治療期間
1か月程度
治療リスク
過度な咬合力による破折
治療費用
363,000円(税込)

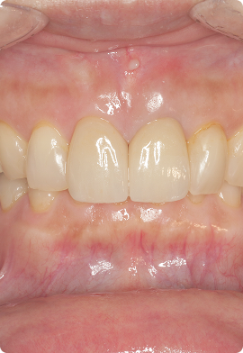
セラミッククラウンの症例

BEFORE
AFTER
症例概要
年代、性別
50代、女性
主訴
前歯の被せ物が合ってない
診断
上顎左右中切歯不適合補綴物、メタルコアの色が透けていること、補綴物のシェードの不一致による審美不良
治療内容
上顎左側中切歯メタルコア除去、ファイバーコア装着、上顎左右中切歯セラミッククラウン装着
治療期間
1か月半程度
治療リスク
過度な咬合力による破折
治療費用
385,000円(税込)

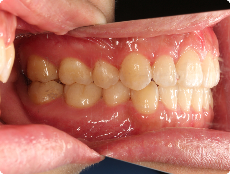
歯列矯正の症例

BEFORE
AFTER
症例概要
年代、性別
20代 女性
主訴
出っ歯
診断
骨格性Ⅰ級、歯性Ⅰ級、上顎前突
治療内容
上下顎左右4番抜歯(4本)、唇側ワイヤー矯正、リテーナー
治療期間
約2.5年
治療リスク
痛み、歯根吸収、歯肉退縮、ブラックトライアングル
治療費用
1,100,000円(税込)
矯正歯科を詳しく

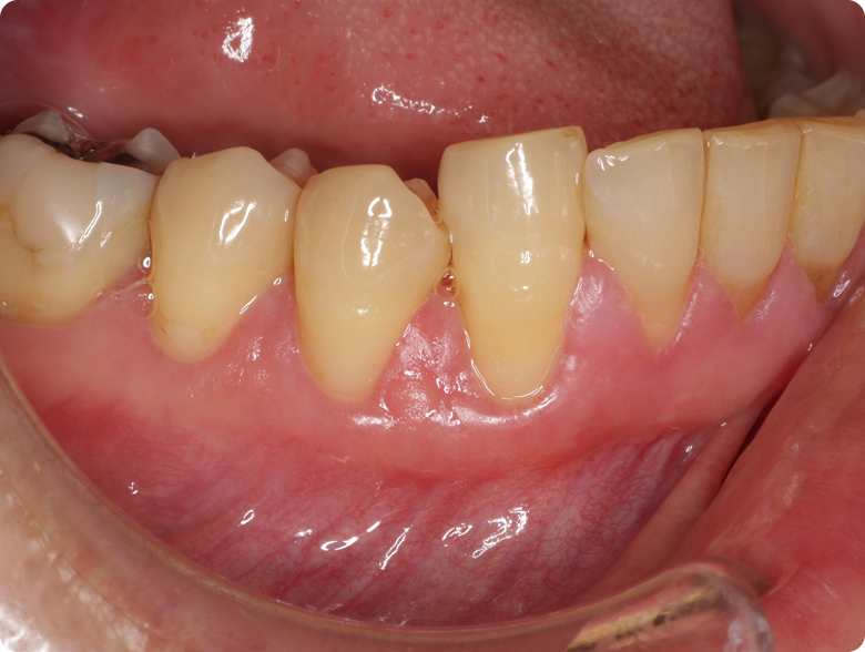
歯肉移植(歯肉退縮の改善)の症例

BEFORE
AFTER
症例概要
年代、性別
40代、男性
主訴
歯茎が下がってきた
診断
下顎左側犬歯、小臼歯の歯肉退縮
治療内容
歯周基本治療(ブラッシング指導)、歯軋り用マウスピースの装着、結合組織移植術(CTG)
治療期間
2ヶ月程度
治療リスク
術後の一時的な痛み、歯肉の退縮量や厚さによっては再度手術が必要
治療費用
165,000円(税込)

口元の見た目が気になったらまずはご相談ください

審美歯科は自由診療ですから、患者様が納得した治療を行うことが何よりも大切であると考えています。そのため、まずはご相談からいらしてください。患者様のお話を十分にお聞きしたうえで、一緒に治療計画がたてられたらと存じます。お気軽にお問い合わせください。

RESERVE

診療予約・相談予約

ご予約・ご相談をお待ちしております

診療時間
日・祝
10:00~13:00
14:00~18:00
休診日: 水・日・祝

東急田園都市線 用賀駅南口から徒歩1分

〒158-0097 東京都世田谷区用賀4−5−23 AZ用賀ビル1F