ご予約・ご相談をお待ちしております
東急田園都市線 用賀駅南口から徒歩1分
〒158-0097 東京都世田谷区用賀4−5−23 AZ用賀ビル1F
-
医院紹介
-
診療一覧
ご予約・ご相談をお待ちしております
東急田園都市線 用賀駅南口から徒歩1分
〒158-0097 東京都世田谷区用賀4−5−23 AZ用賀ビル1F
ご予約・ご相談をお待ちしております
東急田園都市線 用賀駅南口から徒歩1分
〒158-0097 東京都世田谷区用賀4−5−23 AZ用賀ビル1F
ご予約・ご相談をお待ちしております
東急田園都市線 用賀駅南口から徒歩1分
〒158-0097 東京都世田谷区用賀4−5−23 AZ用賀ビル1F
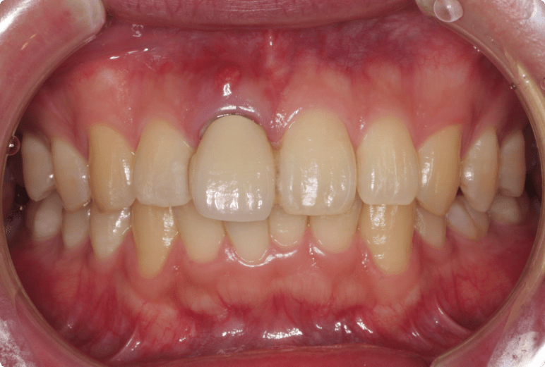
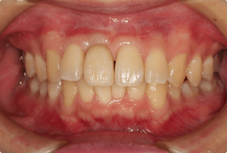
歯を失ったとき、できるだけ早く・信頼できる歯科医院で対応してもらうことが重要です。
当院は、用賀エリアでインプラント治療を行う歯科医院として、患者さまの不安や疑問にしっかり向き合い、長期的に安定した治療を提供しています。
インプラントは、他の歯を削らずに機能と見た目を回復できる唯一の治療法。ブリッジや入れ歯と異なり、隣の歯に負担をかけることもありません。
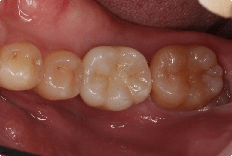
当院では、歯科用CTやシミュレーションソフト、サージカルガイドを活用した精密かつ低侵襲な治療を行っています。
インプラント治療は素晴らしい治療方法ですが自由診療です。また手術が必要になるため、少なからず不安があると思います。ここでは当院が考えるインプラントで後悔しないための3つのポイントをご紹介します。
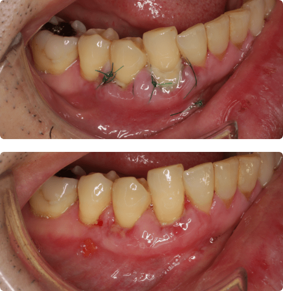
インプラントのリスクとして、インプラント周囲炎という歯周病と同じような状態になる場合があります。多くは患者様のメンテナンス不足が原因ですが、実は術前に行われるべき歯茎の炎症のコントロールをせずにインプラント治療を行った事が原因である症例が多いです。
つまり、歯周病治療を行わずにインプラント治療を行うことは、インプラント周囲炎などのリスクを高めてしまうことになります。そういったトラブルを起こさないためにも歯周病に強い歯科医院で治療をする事が重要です。
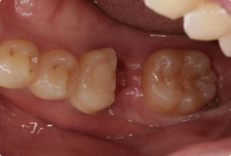
インプラントの問題として、十分な量の骨がないまま治療を進めてしまうと、審美的な問題や、清掃性が低い状態になり、インプラント周囲炎のリスクを高める事に繋がる可能性があります。
骨造成や歯肉移植はインプラントの予後を良好にするために必要な技術ですので、インプラントをできる限り長持ちさせたい場合は、骨造成や歯肉移植ができる歯科医院を選びましょう。
インプラントの予後を良好にするためには、メンテナンスが重要です。そのためには継続的に患者様の口腔状態を管理していかなければなりません。毎回違う歯科衛生士が対応してしまうと一気通貫した管理は難しく、トラブルの元になります。
そのため、技術力はもちろんのこと、担当歯科衛生士が患者様と二人三脚でメンテナンスを行う事が理想的です。僅かな変化にも気がつき、歯科医師と連携した最善の対応を可能とします。
当院ではインプラントのセカンドオピニオンを受け付けています。歯を失ってインプラントを検討している方も、そもそも抜歯の必要があるのか疑問がある方もお気軽にお問い合わせください。院長が親身に相談をお受けいたします。
〒158-0097 東京都世田谷区用賀4−5−23 AZ用賀ビル1F
初めての方は検診・歯科ドックや、治療のご相談をお待ちしております。