ご予約・ご相談をお待ちしております
東急田園都市線 用賀駅南口から徒歩1分
〒158-0097 東京都世田谷区用賀4−5−23 AZ用賀ビル1F
-
医院紹介
-
診療一覧
ご予約・ご相談をお待ちしております
東急田園都市線 用賀駅南口から徒歩1分
〒158-0097 東京都世田谷区用賀4−5−23 AZ用賀ビル1F
ご予約・ご相談をお待ちしております
東急田園都市線 用賀駅南口から徒歩1分
〒158-0097 東京都世田谷区用賀4−5−23 AZ用賀ビル1F
ご予約・ご相談をお待ちしております
東急田園都市線 用賀駅南口から徒歩1分
〒158-0097 東京都世田谷区用賀4−5−23 AZ用賀ビル1F
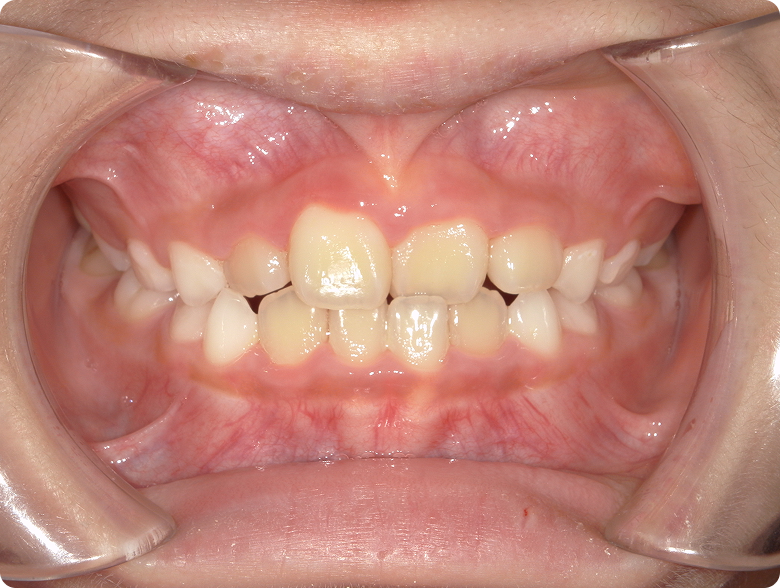
お子さまの歯並びや咬み合わせは、大人になる前の成長期にさまざまな影響を受けます。たとえば、あごの骨が正しく成長しないと、乳歯から永久歯に生え変わるタイミングで歯並びが乱れたり、不正咬合と言って、噛み合わせに問題が生じたりすることがあります。子どもの矯正治療では、こうした成長過程を利用して、あごの幅や形態を整えつつ、歯を正しい位置へ動かすことが可能です。
将来的に抜歯をする可能性の軽減や、より安定した歯並びを得ることにもつながるため、多くのメリットがあります。
「子どもの矯正はいつから始めれば良いの?」というご質問をよくいただきます。個人差はありますが、小学校低学年(1〜3年生)の、あごの成長が大きく進むタイミングで始めることが多いです。
しかし、受け口などはより早い段階で始めたほうが良いこともあります。まずは定期検診の際に歯科医師や矯正歯科医に相談し、必要があれば早めに検査を受けてみましょう。
治療開始のベストタイミングが小学校低学年からとお伝えしましたが、それはこの時期に乳歯から永久歯に生え変わるからです。 永久歯は乳歯に比べて大きいため、乳歯では綺麗に並んでいた歯が永久歯になるとスペースが足りずに凸凹になることがあります。 また、お口ポカンや舌癖(舌で歯を押すなど)がある場合は、噛み合わせも異常がでてきてしまう可能性もあるため、乳歯からの生え変わりで歯並びが悪くなってきたかも?と感じたら、一度ご相談にいらしてください。治療介入が必要か、経過観察で様子を見るかを適切に判断していきます。
子どもの矯正治療は「一期治療」と「二期治療」に分かれます
上下の顎の成長のコントロールによりバランスを整えて、永久歯が生えるスペースを確保したり、正しい噛み合わせに導く矯正治療です。
永久歯が生え揃って顎の成長が終わってから、永久歯の歯並びや噛み合わせを仕上げる矯正治療です。
お子さまの歯並びやあごの発育は、成長期だからこそ「治す+育てる」ことができます。
当院では、一般的な小児矯正(第1期治療)に加えて、こどもの成長発育を活かす矯正治療を行っています。
この治療では、歯を無理に動かすのではなく、呼吸・姿勢・舌やお口まわりの筋肉の使い方など「歯並びを育てる力」を整えることを大切にしています。
お子さま自身の成長力を活かして、あごの発育やお顔のバランスを自然に導くことを目指します。
主に 5〜7歳ごろのお子さま におすすめの治療です。
あごの骨や筋肉が柔らかく変化しやすい時期だからこそ、
お口まわりの機能を整えることで、将来的な歯並びや呼吸の土台を整えることができます。
矯正医、院長共に「子どもを育てる親」です。 歯科医師という立場から、お子様に必要な矯正治療は何かを考えながらも、親という立場に立って、ご家族のお悩みや不安に共感しながら最適な治療法を模索していきたいと考えています。
”歯科医師である前に一人の親である”という視点を持って、自分の子供のことを考えるように、思いやりを大切に矯正治療を行いますので、お子さまの歯並びが気になったらお気軽にご相談いただけたらと思います。
お子さまの歯やあごの状態を診察し、レントゲンや模型、口腔内写真などをもとに治療方針を検討します。
決定した治療方針にもとづき、装置を装着します。装着当初は違和感や軽い痛みが出ることがありますが、数日で慣れるケースがほとんどです。
月に1回ほど通院し、ワイヤーや装置の調整、クリーニングなどを行います。装置が壊れた場合や痛みが強い場合は、早めに受診しましょう。
歯が正しい位置に動いた後、歯並びを安定させるためにリテーナー(保定装置)を使用します。この保定をしっかり行わないと、せっかく整えた歯並びが戻ってしまうことがあるため重要です。
子どもの矯正治療では一期治療は1年~1年半程度、二期治療は1年〜2年半程度というのが一般的ですが、あごの成長や歯の動き方によって個人差があります。
お子様の歯並びが気になったら、当院の矯正無料相談をご活用ください。治療を焦って決めてしまうのではなく、ご家族のお悩みに耳を傾け、そのお悩みが解決できるように伴走いたしますので、いつでも私達を頼っていただけたらと思っています。お悩みに大小はありませんのでお気軽にご相談ください。
〒158-0097 東京都世田谷区用賀4−5−23 AZ用賀ビル1F
初めての方は検診・歯科ドックや、治療のご相談をお待ちしております。