WEB 予約
サイトロゴ

ご予約・ご相談をお待ちしております

診療時間
日・祝
10:00~13:00
14:00~18:00
休診日: 水・日・祝

東急田園都市線 用賀駅南口から徒歩1分

〒158-0097 東京都世田谷区用賀4−5−23 AZ用賀ビル1F

ご予約・ご相談をお待ちしております

診療時間
日・祝
10:00~13:00
14:00~18:00
休診日: 水・日・祝

東急田園都市線 用賀駅南口から徒歩1分

〒158-0097 東京都世田谷区用賀4−5−23 AZ用賀ビル1F

periodontitis

歯周病治療

歯周病専門医による確証のある治療を行います

院長の佐々木は日本歯周病学会専門医であり、日本でもトップクラスの歯周病指導医のもとで研鑽を積んでまいりました。歯周病の症状を改善させるだけではなく、食事や会話が楽しめる様な機能面、下がった歯肉の見た目を改善する包括的な治療を心掛けています。
歯周病でお困りになられたらお気軽にご相談ください。セカンドオピニオンも承っております。

このようなお悩みはありませんか?

  • 歯周病治療を行なっているけれど改善しない
  • 歯周病で抜歯を宣告されてしまったけれど、納得できていない
  • メンテナンスをしているけれど、歯周病の再発を繰り返してしまう

このようなお悩みをお持ちの方は一度当院へご相談ください。起こっている問題には必ず原因があります。

当院には歯科ドックという、保険診療で行う検査よりも詳細な検査を行うプログラムもご用意していますので、歯周病でお困りの方は1度受けてみる事をお勧めしています。

歯科ドック

当院の歯周病治療の特徴

歯周病の原因から改善します

プラーク(細菌の塊)が歯周病の主な原因であることは知られていますが、他にも歯ぎしりや歯列不正が歯周病を進行させる原因である場合があります。隠れた歯周病の進行因子を見過ごさずに患者様にご共有し、根本から歯周病を改善します。

歯周病の専門医・指導医に
鍛え上げられた歯科衛生士が担当

当院の歯科衛生士は歯周病の専門医である院長や歯周病学会の指導医に鍛え上げられています。そのため、歯肉炎や軽度の歯周病は歯科衛生士の初期治療で改善できます。また、担当制度を導入しているため、メンテナンスも責任を持って行います。

歯周病を改善へ導く治療法

当院では歯肉炎から重度歯周病まで、あらゆる難易度の歯周病治療に対応しています。実際に行っている歯周病を改善に導く治療法をご紹介します。

01歯周基本治療(初期治療)
歯周病治療は初期治療とも呼ばれております。口腔内の細菌数を減らすという意味では歯周病に限らず虫歯の予防にもつながる、あらゆる治療のスタートとなる治療です。歯周病の原因であるプラークや歯石を取り除き、正常な口腔内を取り戻します。歯周基本治療の質が高いと、あらゆる進行段階の歯周病でも改善させることができます。中には器具が届かない歯茎の奥深くに歯石がある場合は、歯周外科治療を行います。
02歯周外科治療
歯周基本治療で取りきれない歯石が歯茎の奥深くにある場合は、歯周外科治療を行い歯根を露出させてから取り除きます。当院は歯周外科を最初から行いません。理由としては、基本治療でプラークや歯石を取り除いた上で強い歯肉を取り戻してから行わないと、外科治療に歯肉が耐えられないからです。そのため、当院では必ず歯周基本治療を行なってから歯周外科を行います。
03歯周組織再生療法
歯周病は歯を支える骨や周囲の組織が破壊されてしまう疾患ですが、条件さえ整っていればそれらの組織を再生させることができます。それが歯周組織再生療法と言います。エムドゲインやログロス、バイオオスといった再生誘導材料を歯周外科時に患部へ施すことで組織の再生が期待できます。
04歯周形成外科(歯肉移植)
歯周形成外科では、強いブラッシングや矯正治療などの影響により歯ぐきが下がってしまった場合に、上顎の歯ぐきを移植することで歯肉を回復させ、審美性の改善と清掃しやすい歯肉の状態を取り戻すことが期待できます。

また、歯の周囲に角化歯肉と呼ばれる硬い歯ぐきが少ない場合には、歯ブラシが届きにくかったり、痛みのために磨きにくいことがあります。このような場合も、上顎の角化歯肉を移植することで改善が期待できます。歯肉を採取した部位は時間とともに回復します。

症例で見る歯周病治療

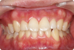
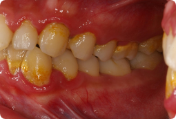
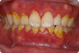
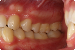
軽度歯周炎を改善した症例

BEFORE
AFTER
症例概要
年代、性別
30代男性
主訴
歯茎から血が出る
診断
歯周炎
治療内容
歯周基本治療
治療期間
3ヶ月
治療リスク
歯茎が引き締まることで一時的な知覚過敏がおきることがある
治療費用
110,000円(税込)

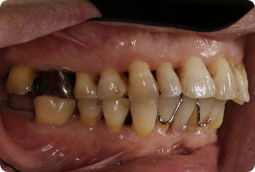
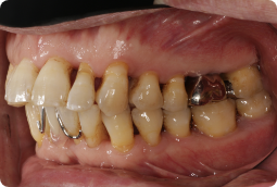
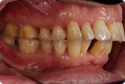
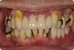
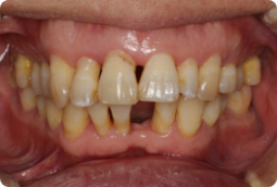
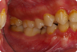
中等度歯周炎を改善した症例

BEFORE
AFTER
症例概要
年代、性別
60代 男性
主訴
左右の奥歯が痛い
診断
中等度歯周炎、根分岐部病変、咬合性外傷
治療内容
歯周基本治療、歯周外科治療及び歯周組織再生療法、トライセクション、部分矯正、咬合調整
治療期間
約3年
治療リスク
歯周病は再発リスクがあります。トライセクションをして残した歯には破折リスクがあります。
治療費用
1,100,000円(税込)

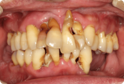
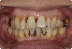
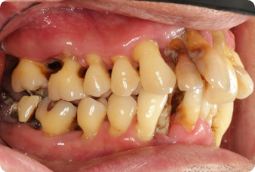
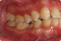
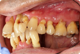
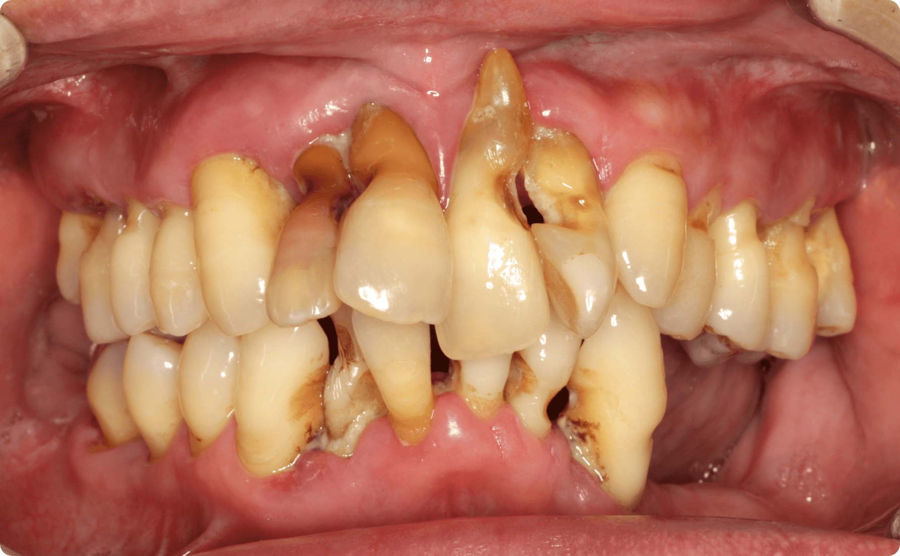
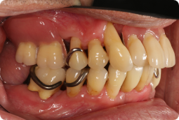
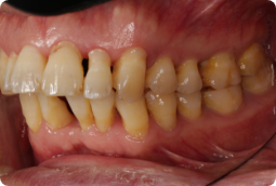
重度歯周炎を改善した症例

BEFORE
AFTER
症例概要
年代、性別
50代 男性(来院時)
主訴
歯がグラグラする
診断
重度歯周炎、二次性咬合性外傷、う蝕(虫歯)
治療内容
歯周基本治療、歯周外科手術(歯肉剥離掻爬術)、根管治療、修復治療(コンポジットレジン)、補綴治療(メタルボンドクラウン、金属床義歯、治療用義歯)
治療期間
約3年
治療リスク
メインテナンスを怠ると歯周病が再発することがある
治療費用
2,200,000円(税込)

歯周病を疑ったらまずは検査をしましょう

歯周病かもしれないと思ったら、まずは検査をしましょう。現在歯周病治療を行っていて改善されていないと不安な方もその原因を調べるために検査をおすすめします。まずは患者様ご自身が状況をしっかりと理解することが重要です。検査からのご予約も可能ですので、お気軽にお問い合わせ下さい。

RESERVE

診療予約・相談予約

ご予約・ご相談をお待ちしております

診療時間
日・祝
10:00~13:00
14:00~18:00
休診日: 水・日・祝

東急田園都市線 用賀駅南口から徒歩1分

〒158-0097 東京都世田谷区用賀4−5−23 AZ用賀ビル1F