WEB 予約
サイトロゴ

ご予約・ご相談をお待ちしております

診療時間
日・祝
10:00~13:00
14:00~18:00
休診日: 水・日・祝

東急田園都市線 用賀駅南口から徒歩1分

〒158-0097 東京都世田谷区用賀4−5−23 AZ用賀ビル1F

ご予約・ご相談をお待ちしております

診療時間
日・祝
10:00~13:00
14:00~18:00
休診日: 水・日・祝

東急田園都市線 用賀駅南口から徒歩1分

〒158-0097 東京都世田谷区用賀4−5−23 AZ用賀ビル1F

  • HOME
  • 歯肉退縮の治療
root cover

歯肉退縮の治療

下がってしまった歯茎の見た目を改善する歯肉移植

歯茎が下がってしまう原因は歯周病・矯正治療・強いブラッシングなど様々です。歯茎が下がると審美的な問題以外にも、知覚過敏が起きたり歯ブラシの難しさから歯垢(プラーク)が停滞しやすくなり、虫歯や歯周病のリスクが高まってしまいます。

そこで、お口の中の健康な歯茎(主に口蓋の歯茎)を患部に移植する歯肉移植を行います。移植元の歯茎は再生する為、元通りになります。

歯肉移植は、下がってしまった歯茎を取り戻すものだけではなく、歯の周りの硬い歯茎が失われているために歯ブラシで痛みがあり磨きにくいようなところは、角化歯肉(厚みと硬さがある歯茎)を移植することで細菌や刺激に耐えうる歯茎を取り戻すことができます。

あまり聞きなれない治療法ですが、世界的に見ればエビデンスがある確立された治療法と言えます。

このようなことでお困りではありませんか?

  • 歯茎が痩せてきて歯が長くなってきた
  • 歯周病治療後に下がった歯茎が目立つ
  • 歯茎が下がっていて冷たいものがしみる
  • 矯正治療をしたら歯茎が下がってしまった

など、歯肉退縮によるお悩みがありましたら、一度ご相談ください。歯肉移植によって改善できる可能性があります。

歯肉移植が不可能である症例 ?

  • 重度歯周病によって骨が少ない状態
  • 歯茎が下がった原因が不明確な場合
  • 歯と歯の間の歯茎も退縮してしまっている

このような症例では、歯肉移植は不可能であると言われています。理由は、移植された歯茎は付着する周囲の歯茎から血液を分けてもらうことで生着します。
その恩恵が受けられない状況の歯は、歯肉移植をしても成果が得られない可能性が高いです。

歯肉移植の実際

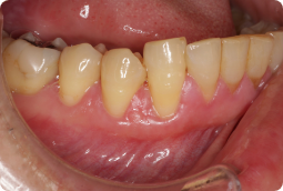
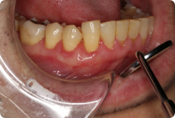
歯肉移植で審美性を改善した症例

BEFORE
AFTER
症例概要
年代、性別
40代、男性
主訴
歯茎が下がってきた
診断
下顎左側犬歯、小臼歯の歯肉退縮
治療内容
歯周基本治療(ブラッシング指導)、歯軋り用マウスピースの装着、結合組織移植術(CTG)
治療期間
2ヶ月程度
治療リスク
術後の一時的な痛み、歯肉の退縮量や厚さによっては再度手術が必要
治療費用
165,000円(税込)

歯茎下がりが不安な方へ

歯茎が下がることは、見た目だけの問題ではなく、知覚過敏が起こりやすく、最終的に歯の神経にダメージを与えることもあります。そのため、下がってしまった歯茎を治したいと思ったら、いつでもお気軽にご予約ください。きっとお力になれると思います。

RESERVE

診療予約・相談予約

ご予約・ご相談をお待ちしております

診療時間
日・祝
10:00~13:00
14:00~18:00
休診日: 水・日・祝

東急田園都市線 用賀駅南口から徒歩1分

〒158-0097 東京都世田谷区用賀4−5−23 AZ用賀ビル1F